Family Smiles of Ringwood
Fernando Tordoya, DDS, FAGD
Request an Appointment
Like us on Facebook
Connect with us on LinkedIn
Leave a Google Review
Instagram
Hablamos Español
(862) 330-3021
General and Aesthetic Dentistry
Located in Skyline Lakes Plaza
16 Skyline Lakes Drive Suite 8, Ringwood, NJ 07456
Home
About
Our Team
Office Tour
Services
View All
Cosmetic Dentistry
Dental Crown and Bridges
Dental Implants
Emergency Dental Care
Extractions
General Dentistry
Periodontal Disease Prevention and Treatment
Root Canal Therapy
TMJ and Bruxism
Tooth-Colored Fillings
Smile Gallery
Reviews
Patient Information & First Visit
View Patient Information & First Visit
Forms
Financial
Specials
FAQs
En Español
Contact
Family Smiles of Ringwood
>
Smile Gallery
>
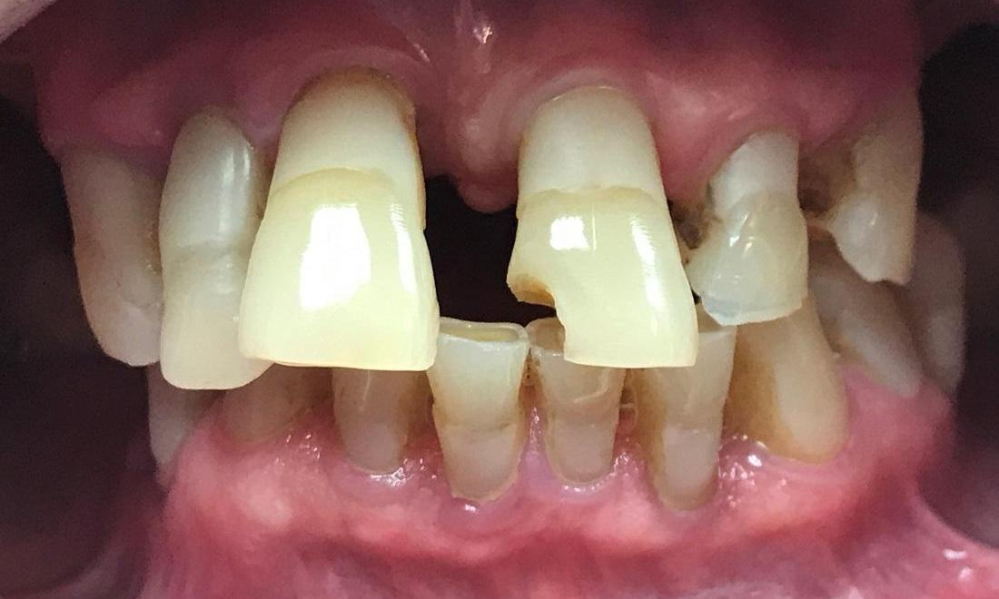
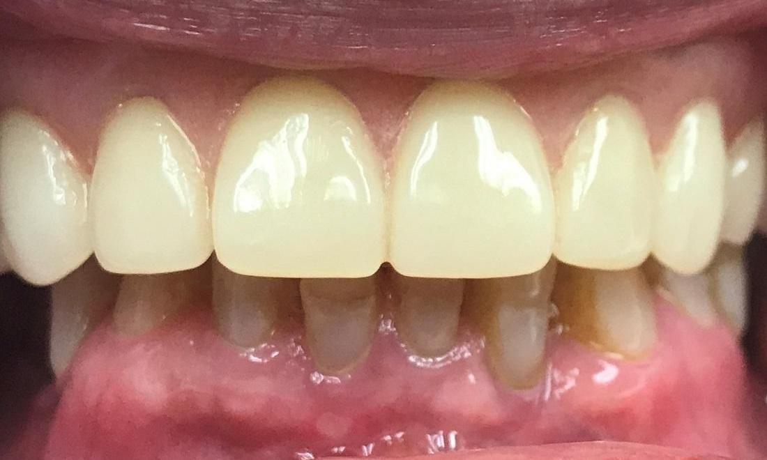
Esthetics Denture Reconstruction
Esthetics Denture Reconstruction
Return to Smile Gallery
Previous
Next
Click image to see a larger picture
Before
After
Before
After
Getting an appointment is
fast
and
easy
!
Get Started!
If you have difficulty using our website, please
email us
or call us at
(862) 330-3021
View the
ADA Accessibility Statement
Turn on ADA Views
OK!
×
×
Contact Us Today
Give Us A Call
Family Smiles of Ringwood -
(862) 330-3021
Send Us an Email
Request an Appointment
Contact
Ready to Schedule an Appointment?
Request an Appointment
Have Questions? Contact Us:
Required Field
Your Name:
Phone:
Email:
Are you a new patient?:
Are you a?
New Patient
Current Patient
How would you like us to contact you?
Please choose
Email
Call
How did you hear about us?
Please choose
I'm an existing patient
Google/Bing
Mailer
Word of mouth
Social media
Other
Who Referred You?:
Appointment Preferences
Monday
Tuesday
Wednesday
Thursday
Friday
Saturday
Your Message:
Sending...
×
This Patient's Experience
Loading Testimonial...
Loading Case...